Welcome Guest, you are in: Login

MUST Creative Engineering Laboratory

RSS RSS

Navigation



Technical Doc



Search the wiki
»

MUST Corp.

MUST Corp.

www.must.or.kr

 Microsoft CERTIFIED Partner Software Development, Web Development, Data Platform

 Microsoft Small Business Specialist

MCSD

Microsoft Certified IT Professional

Microsoft Certified Professional Developer

What is Digital Image Processing?

RSS
Modified on 2010/08/26 11:12 by Administrator Categorized as Digital Image Processing
Book : Digital image processing 3rd Edition, Rafael C. Gonzalez, Richard E. Woods, Prentice Hall

What is Digital Image Processing?

  • Image (영상)
    - 2차원 함수 f(x,y)로 정의
    - x, y: 평면 좌표
    - f: (x,y)점의 intensity, gray level

  • Digital image
    - x, y, f가 finite, discrete quantity
    - 유한 개의 위치와 값을 가짐
    - Picture element, image element, pel, pixel

  • Digital image processing
    - Digital computer에 의한 digital image의 처리

  • 인간의 시각
    - 인식에서 가장 중요한 역할
    - 전자기 스펙트럼의 가시광선 영역에 한정

  • 기계 시각
    - 거의 모든 전자기 스펙트럼을 포함
    - Gamma선, 자외선, 가시광선, 적외선, radio wave
    - Source: 초음파, 전자현미경, computer-generated image

  • Image processing, computer vision의 경계?
    - Low level processing: 입력과 출력이 모두 image
    - Mid level processing: segmentation, description of object, classification of objects
    - High level processing: make sense

Fields of Digital Image Processing

  • Image의 energy source에 따라 digital image processing의 범위를 이해
    - Gamma선, 자외선, 가시광선, 적외선, radio wave
    - 초음파, 전자현미경, computer-generated image

  • 전자파는 전기자기 sine파가 전파하는 것으로도 이해할 수 있고, 빛의 속도로 나아가는 질량이 ‘영’인 광자(photon)이라고도 이해

Image

Gamma ray image

  • 감마선의 투과성을 이용
  • 주요 응용분야: 핵의학, 천문관측

Image

Image

a) 환자에게 감마선을 방사하는 방사선 동위원소를 주사, 감마 검출기로써 영상을 획득 - 병소의 위치 파악에 유용 b) PET(positron emission tomography) image c) 백조자리 15,000년전의 가스성운의 감마선 영상 d) 핵반응 밸브로부터 나오는 감마선(밝은 부분)

X-ray image

  • X선의 투과성을 이용

Image

Ultraviolet image

  • 주요 응용분야: 석판인쇄, 산업용 검사, 형광 현미경, 레이저, 생물학 영상, 천문 관측 등

Image

a) 보통옥수수 b) 깜부기병에 걸린 옥수수 c) 백조자리 성운

Visual band and infrared image

  • 적외선 영상은 가시광선 영상과 함께 사용되는 경우가 많다

Image

a) 항암제 Taxol b) 콜레스테롤 c) 마이크로프로세서

Image

Multispectral(가시광선과 적외선) image of Hurricane Andrew

Infrared image

Image

남북 아메리카의 적외선 위성사진 (인구밀도를 보여줌)

Visual band image – 영상처리에 의한 품질검사

Image

a) 회로 기판 b) 포장 알약 c) 병 d) 플라스틱 표면의 기포 e) 씨리얼 f) 각막 이식

Imaging in the microwave band

  • 주요 응용분야: 레이다

Image

남부 티벳 산악의 우주중계 레이다 영상

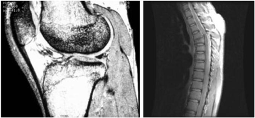
Imaging in the radio band

  • 주요 응용분야: 의학(MRI: magnetic resonance image), 천문학

Image

인체의 MRI 무릎, 척추

Image

게자리 (pulsar)

Other imaging modalities

  • 음향: 100Hz 이하. 광물탐사, 석유탐사

Image

- 지진 모델의 단면영상(화살표는 석유와 가스 트랲을 가리킴)

  • 초음파: 1~5MHz 이하. 의료진단

Image

a)아기1 b)아기2 c)갑상선 d)손상된근육

  • 전자현미경: SEM(scanning electron microscope)
  • 전자빔을 쏘아 각 위치에서 빔과 샘플과의 상호작용을 기록

Image

텅스텐필라멘트의 250x SEM영상, 손상된 IC의 250x SEM영상

Computer generated image

Image

MUST Creative Engineering Laboratory

ImageImage Image Image

Image Image Image Image Image Image Image

Copyright © 2010 MUST Corp. All rights reserved. must@must.or.kr
This Program is released under the GNU General Public License v2. View the GNU General Public License v2 or visit the GNU website.